The Tailbone Podcast: Jeroen – Patient
Do your own research because there are tailbone specialists out there,
although they often seem to be more
on separate islands then in a connected network
Our guest in this episode is Jeroen

Jeroen is suffering from tailbone pain for four years at the time of the interview and gained a lot of knowledge during his journey
of treatments and approaches. In my view knows more than most doctors and therapists about the topic and he also tried almost all medical and therapeutic options.
In this episode he shares his journey in finding treatment and what he encountered in the medical and therapeutic world, and the decisions he made along the way. He also talks about what he experienced as a patient suffering from severe problems and how he managed his pain and problems to a level that doesn’t interfere with his desired daily life activities. And this was quite a challenge because after the hundreds of patients I saw as a therapist (often the worst cases), Jeroen is most probably the patient that had the most severe problems that I have encountered so far.

At the time of recording this episode, Jeroen was recovering from a quite rare form of therapy for tailbone pain; spinal cord stimulation (SCS). In our conversation we will dive into what that is and how it works. More info about this procedure you can find below and of course in the episode.
You can find my podcast in the menu under Podcast as well as the links to the platforms where it is posted.
Bonus: the spinal cord stimulation
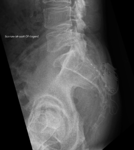
Jeroen talked about his experience with the spinal cord stimulation. In this procedure, an electrode (in th eshape of a needle) is placed internally near the spinal cord. Here it directly desrupts and in that way decreases the pain signals from the painful area to the brain through low frequency electrical currents, through a stimulator under the skin. This device can be charged through the skin and controlled by a remote control. It is more or less comparable with TENS which is external stimulation on the skin and through the peripheral nervous system. Spinal cord stimulation works internally and as the name indicates, directly on the central nervous system.
These are the pictures shared by Jeroen after his surgery. The dotted line is the electrode, the implanted device (stimulator) that sends the current is the round object.


This procedure only targets the pain, so it doesn’t solve the underlying problem itself and only works as long as the current is applied. On the other hand it is fully reversible by removing the device and has no side effects like you have with medication. Since it is minimal invasive surgery, there is hardly any tissue damage or scar tissue. It starts with a test period of 1 week, where only the electrode is inserted and the device remains external. After the trial period the patient and the surgeon evaluate and decide on a
permanent implant.
More info about the spinal cord stimulation approach, given by the performing neurosurgeon himself, you can find in two videos:
- The first video is a case report (starting at 55:53)
- The second video a explanation of the method (starting at 39:50)
Bonus: the tailbone pillow
In the episode we also talked about Jeroen’s self-developed tailbone pillow. The video I posted it on social media and it can be seen here:
Jeroen’s self-developed tailbone pillow
This pillow is a prototype and not for sale unfortunately, but gives a nice insight into the mechanics of the tailbone pillow.
Get in touch
In you have any questions about anything in and outside of this episode, comments or requests, let me know! You can email me through the contact field below or directly at roel@roelwilbers.nl.